ImageChecker™ 2D CAD Technology

Computer Aided Detection (CAD) solution for multiple 2D mammography datasets.

Information Exclusively Intended for Healthcare Professionals

Technician and healthcare professional looking at computer aided 2D mammography datasets and scans

    Overview

    Documents

    Training

    A Flexible, Compatible Detection Solution1

    In a constantly changing clinical mammography environment, the flexibility and compatibility of ImageChecker 2D CAD Technology provides detection for conventional 2D images, as well as C-View™ and Intelligent 2D™ synthesised images derived from a tomosynthesis dataset.

    Easy Navigation & Detection Features

    Advanced anatomic correlation technology analyses corresponding findings in the contralateral breast and different views of the same breast.

    Flexible Solution

    Your site can select up to 3 sensitivity settings, or operating points, depending on what best suits the practice’s needs. A region will be marked only if the ranking falls above a chosen operating point.

    Cost Effective Architecture

    Integrated on the Dimensions™ acquisition workstation, this technology allows you to review images at the point of care and eliminates the need for a separate server.

    Illustration of Hologic Breast Health Continuum of Care with Radiology

    Unlock the Advantage of Time

    The Breast Health Continuum of Care offers integrated solutions for clinical confidence, workflow efficiency and compassionate patient care. It is our purpose to help more women to be in better health.

    ImageChecker 2D CAD Technology is part of the Hologic Screening & Diagnosis Solution.

    Highly Sensitive Results

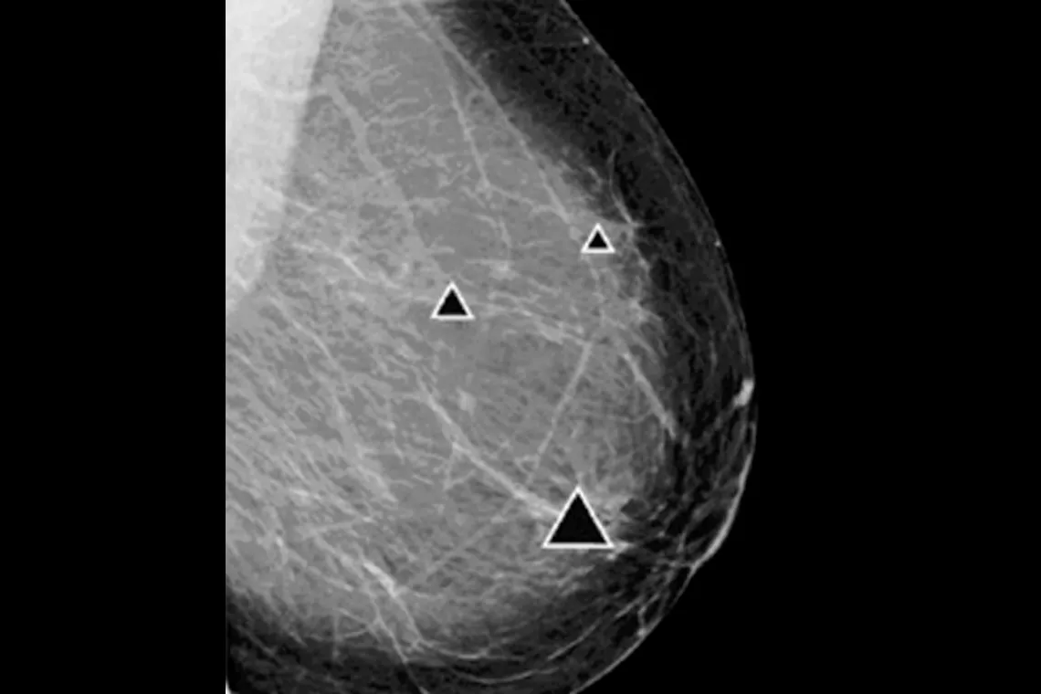
    ImageChecker 2D CAD Technology searches digital mammograms for potential microcalcifications and masses, characteristics commonly associated with breast cancer.

    • Regions-of-interest are highlighted for the radiologist’s attention
    • Delivers highly sensitive results without excessive false-positive marks, streamlining case review2
    • Easy navigation to the slice of interest in the tomosynthesis stack, when used in combination with Smart Mapping on synthesized 2D images
    Digital mammography with peer emphasize marks
    Woman visiting and enquiring receptionist at the Breast Imaging Suite within hospital

    Visit Our Virtual Hospital

    Browse our portfolio of Breast Health solutions in 3D. See how you can unlock the advantage of time across the entire Breast Continuum of Care. 

    Hologic AI-powered Integrated Software Solutions

    Our products are designed to work together and can be customised to your needs. Discuss your clinical needs with our experienced team to find the best solution that suits you. Browse the relevant options below.

    Image Gallery3

    Evidence. Insight. Collaboration.

    Our education portal improves patient care through excellence in education, communication of clinical and scientific evidence, and partnerships with the healthcare community.

    Insights

    Radiographers reviewing tomosynthesis mammography on a screen Radiographers reviewing tomosynthesis mammography on a screen

    ToSyMa Study Results, a 3D Future for Breast Cancer Screening

    Women sitting in front of a mammography machine with a health care professional at her side. Women sitting in front of a mammography machine with a health care professional at her side.

    Global Insight: Breast and Cervical Screening Programmes Now and in the Future

    Woman patient talking to healthcare professional with image scans at the back Woman patient talking to healthcare professional with image scans at the back

    Global Insight: A Vision for Women-centric Care

      1. Data on File: CSR-00116 Rev 004
      2. User manual MAN-02002 Rev 002- section 1.6
      3. These features can be viewed on a Hologic® workstation† and are included in the ImageChecker® CAD license group. *ImageChecker® 2D CAD Technology operates on the 3Dimensions™ or Dimensions® AWS systems with software version 2.1/1.10.
       
      Singapore-registered IFU data is available upon request.

      Safety Data Sheets

      Package Inserts